2025/11/12
プチ矯正日記④


こんにちは。助手の相原です。
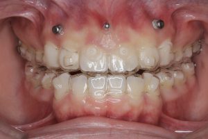
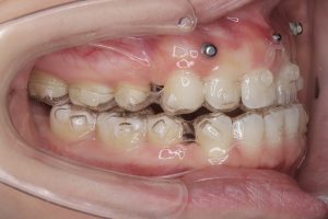
インビザラインで矯正を始めて1年㊗
現在25番目のマウスピースを使っています。
もともと歯並びは良いほうなので並んだ実感はあまりないです😂
予定になかったネジを入れることになってしまいました。口の中にネジが3本になってしまって驚きです🤡ちなみに上顎にあと2本ネジが入る予定です!!
5本口の中にネジがはいったら抜歯の本数より多くなります。楽しみ🤩🤩🤩🤩🤩
毎日マウスピースは22時間程度チューイは1時間以上、同じマウスピースを2週間以上使ってますが上の奥歯が左右ともにマウスピースがういてきてしまっていて悲しいですが、一生懸命使っていきます!目指せ毎日23時間着用🎶