2018/04/26

-
2026/02/02
こんにちは衛生士の大澤です☺ マウスピース型歯科矯正装置 (インビザラインライト・薬機法対象外)の2set目がやっと折り返しになりました! 1set目と違い痛みはなく大きく動いてる感じはしないです 左が現在で右が2set目のスタート時です。 下の前歯の真ん中の根元の隙間が気になったので、...続きを読む
カテゴリ矯正中のスタッフブログ
医療タグマウスピース矯正マウスピース型歯科矯正装置 (インビザライン・薬機法対象外)目白歯科矯正歯科

-
2025/12/01
こんにちは。歯科衛生士の鈴木です。 マウスピース矯正を始めて、6ヶ月くらいが経ちました! 3枚目のマウスピースの時と、24枚目のマウスピースの比較の写真です。 1セット目の終盤に入り前歯のでこぼこが揃ってきました。 全部で30枚マウスピースがあるので、あと少し頑張ります^_^ ...続きを読む
カテゴリ矯正中のスタッフブログ
医療タグ矯正歯科歯列矯正マウスピース型歯科矯正装置 (インビザライン・薬機法対象外)インビザ

-
2025/09/11
こんにちは歯科衛生士の鈴木です^_^ マウスピース矯正を始めて3ヶ月半くらいになりました。 経過の写真を撮ったのでご報告します^_^ 上の前歯は最近動き始めた感じがします。 下の前歯は結構デコボコが揃ってきた感じがします。 今14枚目のマウスピースを使っています。 残り半分のマウスピースもしっかり使って頑張ります^_^ ...続きを読む
カテゴリ矯正中のスタッフブログ
医療タグマウスピース矯正矯正専門医マウスピース型歯科矯正装置 (インビザライン・薬機法対象外)目白歯科矯正歯科
出っ歯のマウスピース型歯科矯正装置(インビザライン・薬機法対象外)⑫

-
2025/09/10
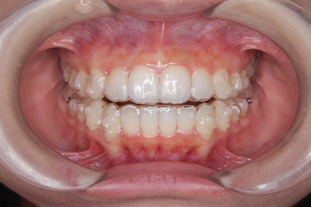
お久しぶりです高橋です! 前歯のゴムかけを続けましたが、動きがあまり良くなかったので取り外しのできないゴム(パワーチェーン)を付けることになりました。 付けた状態がこちらです! 自分でかけるゴムより、違和感が少しあり動いてる感じがとてもあります^^ このまま使用し、様子を見ていきます! また経過をご報告します...続きを読む
カテゴリ矯正中のスタッフブログ
医療タグマウスピース型歯科矯正装置 (インビザライン・薬機法対象外)定期健診
マウスピース型歯科矯正装置(インビザライン・薬機法対象外)で再矯正治療⑦

-
2025/08/08
こんばんは、歯科衛生士の江戸です^ ^ ワイヤー装置での微調整を繰り返し、矯正治療ひと段落です! 上がbefore 下がafterになります。 正中が真っ直ぐ整いました! 上の前歯のガタガタも綺麗に並びました! 右上を一本ずつ後ろに下げて、上下前後にしっかり噛み合いました! ...続きを読む
カテゴリ矯正中のスタッフブログ
医療タグマウスピース型歯科矯正装置 (インビザライン・薬機法対象外)矯正歯科後戻り目白歯科保定目白矯正

-
2025/06/20
こんにちは^_^歯科衛生士の鈴木です。 最近インビザラインでのマウスピース矯正を始めました。 私が治したいところは上の前歯がズレていて傾いているところと、下の前歯のガタつきです。 私は上の親知らずを抜いて前に出てる前歯を、奥歯から後ろに下げていきます。あとは歯と歯の間を削ってデコボコをまっすぐに並べていきます。 マウスピースが33枚あるので、頑張って使い...続きを読む
カテゴリ矯正中のスタッフブログ
医療タグ歯列矯正マウスピース矯正インビザラインフル目立ちにくいマウスピース型歯科矯正装置 (インビザライン・薬機法対象外)矯正歯科
マウスピース型歯科矯正装置(インビザライン・薬機法対象外)で再矯正治療⑥

-
2025/05/23
歯科衛生士の江戸です。 突然ですが、この度夫の転勤が決まり急遽7月で退職する運びとなりました。 転勤先が九州になる為なかなか帰って来れないかもしれないということと、インプラント治療との兼ね合いもあり、確実に矯正を進めていくために上の前歯にワイヤー装置をつけることになりました! マウスピースとワイヤー矯正の併用です^ ^ 前歯6...続きを読む
カテゴリ矯正中のスタッフブログ
医療タグ池袋マウスピース型歯科矯正装置 (インビザライン・薬機法対象外)矯正歯科部分矯正ワイヤー矯正マウスピース型矯正装置目白
マウスピース型歯科矯正装置(インビザライン・薬機法対象外)で再矯正治療⑤

-
2025/04/22
歯科衛生士の江戸です、矯正の経過報告します(^^) 8番目に進んだところで1番浮きやすいと言われる上の前歯、左上2番目の歯が… もうダメかと思ったんですが、諦めずにアライナーチューイを1日3時間以上噛んでみました! その結果、 なんとかフィットしました笑 &nb...続きを読む
カテゴリ矯正中のスタッフブログ
医療タグマウスピース型歯科矯正装置 (インビザライン・薬機法対象外)矯正歯科マウスピース矯正目立たない矯正アライナーチューイー痛くない矯正目白池袋

-
2025/02/27
こんにちは衛生士の大澤です🐼 この度マウスピース型矯正装置(インビザライン・薬機法対象外)にて矯正を始めることになりました! 歯並びは比較的良いほうだと思っていましたが、矯正が終了した患者さんの綺麗な歯並びをたくさん見て、 自分もせっかくなら完璧を目指したいと思い、入社7年目で今更ですが矯正開始に踏み切った次第です🤗 ...続きを読む
カテゴリ矯正中のスタッフブログ
医療タグインビザラインライト部分矯正クリンチェック歯並び矯正マウスピース型歯科矯正装置 (インビザライン・薬機法対象外)
マウスピース型歯科矯正装置(インビザライン・薬機法対象外)で再矯正治療④

-
2025/01/24
こんにちは、歯科衛生士の江戸です^ ^ 矯正の経過報告です! 1SET目24枚まで進んだところです。 前歯でもしっかり噛めるようになって、最初の写真と比較するとだいぶ綺麗に揃いました(^^)/ ただ正中のズレが残ってしまったのと、もう少し上の前歯を下げないと後戻りしやすいということで2SET目に突入!  ...続きを読む
カテゴリ矯正中のスタッフブログ
医療タグ歯医者後戻り目白歯科マウスピース矯正目立たない矯正痛くない矯正池袋マウスピース型歯科矯正装置 (インビザライン・薬機法対象外)
池袋の








